被せ物(クラウン・ブリッジ)の症例
CAD/CAM冠⇒ワンデイトリートメントにてセラミッククラウン(e.max)への症例
上顎右側第一大臼歯に装着されていた保険診療のCAD/CAM冠を、ワンデイトリートメントにてセラミッククラウン(e.max)へ変更した症例です。
自然な色調と透明感を再現でき、審美性の向上に加えて、強度や適合性の面でも優れた仕上がりとなりました。


治療前

治療後

| 項目 | 内容 |
|---|---|
| 治療内容 | e.maxクラウン(自費診療) |
| 治療部位 | 上顎右側第一大臼歯 |
| 費用 | e.maxクラウン 110,000円(税込)+ ワンデイトリートメント 33,000円(税込) |
| 治療期間 | 1日(即日修復) |
| リスク・副作用 | 破折や脱離の可能性があります。噛み合わせにより追加調整が必要となる場合があります。 |
※本症例は一例であり、すべての患者様に同じ結果が得られるわけではありません。
※治療方法・費用・期間などは、症状やご希望により異なります。
金属冠(FMC)⇒e.maxクラウン(セラミック)の症例
左上4(上顎左側第一小臼歯)に装着されていた保険診療の金属冠(FMC)を、e.maxクラウン(セラミック) にやりかえたケースです。
小臼歯は笑ったときに見えることも多く、金属の色が気になる部位でもあります。
e.maxは透明感と自然な色調を持ち、見た目を改善できるだけでなく、適合性や強度の面でも優れた素材です。
| 項目 | 内容 |
|---|---|
| 治療内容 | e.maxクラウン(自費診療) |
| 治療部位 | 左上4(上顎左側第一小臼歯) |
| 費用 | e.maxクラウン 1本 ¥110,000(税込) |
| 治療期間 | 1〜2回(即日修復にも対応可) |
| リスク・副作用 | 破折や脱離の可能性があります。噛み合わせにより追加調整が必要となる場合があります。 |
※本症例は一例であり、すべての患者様に同じ結果が得られるわけではありません。
※治療方法・費用・期間などは、症状やご希望により異なります。
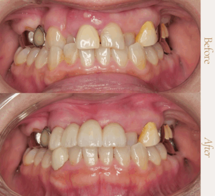
前歯部ジルコニアブリッジの症例
前歯部に、ジルコニアブリッジ を装着したケースです。欠損部を補う方法として、今回はブリッジ治療を選択しました。
ジルコニアは高い強度を持つ素材で、前歯部に求められる審美性と、長期的な安定性の両立が可能です。噛み合わせや支台歯への負担を考慮しながら、
形態・色調を調整し、口元全体のバランスを整えました。
| 項目 | 内容 |
|---|---|
| 治療内容 | ジルコニアブリッジ(自由診療) |
| 治療部位 | 前歯部(4本) |
| 費用 | 1本132000円 |
| 治療期間 | 2〜3回 |
| リスク・副作用 | 支台歯に負担がかかる可能性があります。 咬合力や使用状況により、破折や脱離が生じる場合があります。 |
※本症例は一例であり、すべての患者様に同じ結果が得られるわけではありません。
※治療方法・費用・期間などは、症状やご希望により異なります。
詰め物(インレー)症例
ENAMICインレーの症例
左下6(下顎左側第一大臼歯)の治療で、虫歯の治療後に仮詰めを行い経過観察した後、ENAMICインレーをワンデイトリートメントにてセットしたケースです。
ENAMICは、セラミックの硬さとレジンのしなやかさを併せ持つ素材で、噛む力が強い奥歯にも適した強度と、歯に優しい弾性を兼ね備えています。
治療前

治療後

| 項目 | 内容 |
|---|---|
| 治療内容 | ENAMICインレー+ワンデイトリートメント(自由診療) |
| 治療部位 | 左下6(下顎左側第一大臼歯) |
| 費用 | ENAMICインレー ¥44,000(税込) ワンデイトリートメント ¥33,000(税込) |
| 治療期間 | 約100分程度。 |
| リスク・副作用 | 強い力で欠けや脱離する可能性があります。咬合や隣接歯との関係により調整が必要な場合があります。 |
※本症例は一例であり、すべての患者様に同じ結果が得られるわけではありません。
※治療方法・費用・期間などは、症状やご希望により異なります。
e.maxインレーの症例①
左下6(下顎左側第一大臼歯)にあったメタルインレーを白くしたいとの事でしたのでワンデイトリートメントにてe.maxインレー(セラミック) をセットしたケースです。
e.maxは高い強度と審美性を併せ持つ素材で、奥歯でもしっかりと噛むことができ、自然な色調で仕上げることができます。
即日での修復により、仮封期間中のトラブルや再感染のリスクを抑えられるのも特徴です。
⚠️ミラー像なので左右反転しています。
治療前

治療後

| 項目 | 内容 |
|---|---|
| 治療内容 | e.maxインレー+ワンデイトリートメント(自由診療) |
| 治療部位 | 左下6(下顎左側第一大臼歯) |
| 費用 | e.maxインレー ¥66,000(税込) ワンデイトリートメント ¥33,000(税込) |
| 治療期間 | 1日(約2時間程度) |
| リスク・副作用 | 強い咬合力により欠けや脱離の可能性があります。 咬み合わせや隣接歯の状態により、調整が必要となる場合があります。 |
※本症例は一例であり、すべての患者様に同じ結果が得られるわけではありません。
※治療方法・費用・期間などは、症状やご希望により異なります。
e.maxインレーの症例②
左上6・7に、e.maxインレーを2本同時にワンデイトリートメントにて作成したケースです。
形成後すぐに口腔内をスキャンし、設計・削り出し・調整・装着までを半日で完結しました。e.maxは高い強度と審美性を併せ持つセラミック素材で、奥歯でもしっかり噛める耐久性と、天然歯に近い色調が特徴です。
また、形成後に仮封期間を設けないことで、露出した象牙質への細菌侵入や再感染のリスクを抑えられるのもワンデイトリートメントの大きな利点です。
| 項目 | 内容 |
|---|---|
| 治療内容 | e.maxインレー 2本 &ワンデイトリートメント(自由診療) |
| 治療部位 | 26・27(上顎左側第一・第二大臼歯) |
| 費用 | e.maxインレー ¥66,000(税込)×2 ワンデイトリートメント ¥33,000(税込) |
| 治療期間 | 1日(即日修復) |
| リスク・副作用 | 強い咬合力により欠けや脱離が生じる可能性があります。 咬み合わせや歯の状態により調整が必要となる場合があります。 |
※本症例は一例であり、すべての患者様に同じ結果が得られるわけではありません。
※治療方法・費用・期間などは、症状やご希望により異なります。




