詰め物(インレー)症例
ENAMICインレーの症例
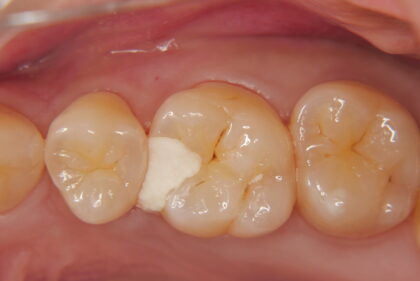
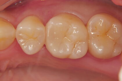
左下6(下顎左側第一大臼歯)の治療で、虫歯の治療後に仮詰めを行い経過観察した後、ENAMICインレーをワンデイトリートメントにてセットしたケースです。
ENAMICは、セラミックの硬さとレジンのしなやかさを併せ持つ素材で、噛む力が強い奥歯にも適した強度と、歯に優しい弾性を兼ね備えています。
治療前

治療後

| 項目 | 内容 |
|---|---|
| 治療内容 | ENAMICインレー+ワンデイトリートメント(自由診療) |
| 治療部位 | 左下6(下顎左側第一大臼歯) |
| 費用 | ENAMICインレー ¥44,000(税込) ワンデイトリートメント ¥33,000(税込) |
| 治療期間 | 約100分程度。 |
| リスク・副作用 | 強い力で欠けや脱離する可能性があります。咬合や隣接歯との関係により調整が必要な場合があります。 |
※本症例は一例であり、すべての患者様に同じ結果が得られるわけではありません。
※治療方法・費用・期間などは、症状やご希望により異なります。
e.maxインレーの症例
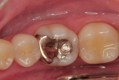
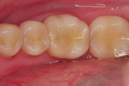
左下6(下顎左側第一大臼歯)にあったメタルインレーを白くしたいとの事でしたのでワンデイトリートメントにてe.maxインレー(セラミック) をセットしたケースです。
e.maxは高い強度と審美性を併せ持つ素材で、奥歯でもしっかりと噛むことができ、自然な色調で仕上げることができます。
即日での修復により、仮封期間中のトラブルや再感染のリスクを抑えられるのも特徴です。
⚠️ミラー像なので左右反転しています。
治療前

治療後

| 項目 | 内容 |
|---|---|
| 治療内容 | e.maxインレー+ワンデイトリートメント(自由診療) |
| 治療部位 | 左下6(下顎左側第一大臼歯) |
| 費用 | e.maxインレー ¥66,000(税込) ワンデイトリートメント ¥33,000(税込) |
| 治療期間 | 1日(約2時間程度) |
| リスク・副作用 | 強い咬合力により欠けや脱離の可能性があります。 咬み合わせや隣接歯の状態により、調整が必要となる場合があります。 |
※本症例は一例であり、すべての患者様に同じ結果が得られるわけではありません。
※治療方法・費用・期間などは、症状やご希望により異なります。

